Segunda, 02 de Março de 2026
(32)20101481

Atualidade

JUIZ DE FORA DEVE TER NOVOS TEMPORAIS HOJE (26), DIZ PREVISÃO DO TEMPO
MAIS CHUVAS 26/02/2026 - 07h49
JUIZ DE FORA DEVE TER NOVOS TEMPORAIS HOJE (26), DIZ PREVISÃO DO TEMPO Regiões como Zona da Mata, Vale do Rio Doce e sul e sudoeste de Minas Gerais podem registrar volumes acima de 100 milímetros de chuva por dia.
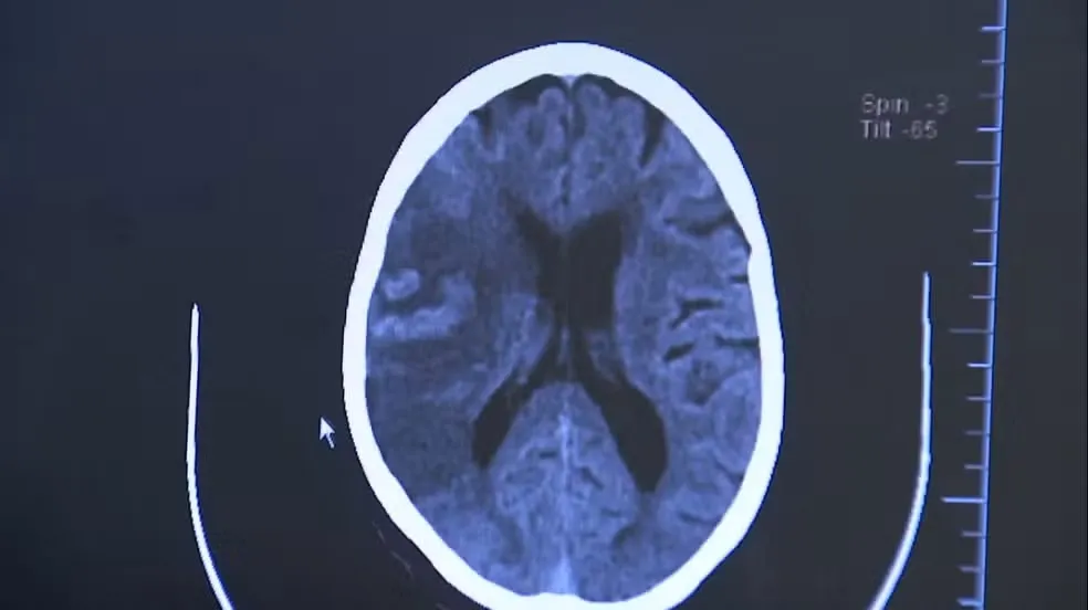
CAFÉ PODE REDUZIR A CHANCE DE DEMÊNCIA, DIZ ESTUDO
CAFEZINHO DO BEM 25/02/2026 - 10h03
CAFÉ PODE REDUZIR A CHANCE DE DEMÊNCIA, DIZ ESTUDO Beber de duas a três xícaras de café ou chá cafeinado por dia pode reduzir em cerca de 20% o risco de demência, aponta um estudo que acompanhou mais de 130 mil pessoas por 40 anos.
SOBE PARA 37 O NÚMERO DE MORTOS EM JUIZ DE FORA E UBÁ APÓS FORTE CHUVA; 33 ESTÃO DESAPARECIDOS
TRAGÉDIA EM JF E UBÁ 25/02/2026 - 09h52
SOBE PARA 37 O NÚMERO DE MORTOS EM JUIZ DE FORA E UBÁ APÓS FORTE CHUVA; 33 ESTÃO DESAPARECIDOS Chuva que caiu na região no início da semana deixou dezenas de mortos e milhares de desabrigados.
PERFIS ANÔNIMOS ESPALHAM PÂNICO NAS REDES SOCIAIS COM FALSAS ALERTAS SOBRE EPIDEMIAS NO BRASIL
PARA CRIAR PÂNICO 24/02/2026 - 08h25
PERFIS ANÔNIMOS ESPALHAM PÂNICO NAS REDES SOCIAIS COM FALSAS ALERTAS SOBRE EPIDEMIAS NO BRASIL Publicações sensacionalistas sobre vírus e surtos utilizam desinformação para gerar engajamento, monetização e medo coletivo
USO DE BANHEIROS FEMININOS POR MULHERES TRANS NAS ESCOLAS AINDA NÃO POSSUI LEI FEDERAL ESPECÍFICA
MENINO E MENINA 24/02/2026 - 08h19
USO DE BANHEIROS FEMININOS POR MULHERES TRANS NAS ESCOLAS AINDA NÃO POSSUI LEI FEDERAL ESPECÍFICA Tema permanece sem regulamentação nacional ou estadual em Minas Gerais e decisões ficam sob responsabilidade administrativa dos sistemas de ensino
DREAMS PET CENTER: O PRIMEIRO SUPERMERCADO PET DA REGIÃO CHEGA PARA REVOLUCIONAR O MERCADO EM JAMAPARÁ
PET MERCADO 23/02/2026 - 07h24
DREAMS PET CENTER: O PRIMEIRO SUPERMERCADO PET DA REGIÃO CHEGA PARA REVOLUCIONAR O MERCADO EM JAMAPARÁ Com estrutura ampla, conceito inovador e grande variedade de produtos e serviços, a loja une conforto, preço competitivo e atendimento especializado para tutores e seus animais de estimação.
TL TURISMO: REFERÊNCIA EM EXCURSÕES E VIAGENS PELO BRASIL
VIAGENS 20/02/2026 - 06h37
TL TURISMO: REFERÊNCIA EM EXCURSÕES E VIAGENS PELO BRASIL Empresa alia frota moderna, motoristas experientes e atendimento humanizado para oferecer segurança, conforto e credibilidade em cada destino.
PLANTAÇÃO DE MACONHA DE MIL METROS QUADRADOS É DESCOBERTA
LAVOURA DE MACONHA 15/02/2026 - 20h26
PLANTAÇÃO DE MACONHA DE MIL METROS QUADRADOS É DESCOBERTA Uma mulher de 23 anos foi presa, enquanto o marido, de 27, fugiu do local com o pai, de 61 anos. Eles são apontados como proprietários do terreno onde a plantação foi encontrada.
MONITORES EDUCACIONAIS QUEREM RECEBER PISO DO MAGISTÉRIO E DEBATE CHEGA ÀS CÂMARAS MUNICIPAIS
DISPUTA A VISTA 13/02/2026 - 08h48
MONITORES EDUCACIONAIS QUEREM RECEBER PISO DO MAGISTÉRIO E DEBATE CHEGA ÀS CÂMARAS MUNICIPAIS Categoria procura vereadores para garantir equiparação salarial prevista em lei federal, enquanto prefeituras alegam impacto financeiro e recorrem à Justiça
POLÍCIA FAZ BUSCAS EM OPERAÇÃO E ALVO JOGA DINHEIRO PELA JANELA
CHUVA DE DINHEIRO 11/02/2026 - 09h56
POLÍCIA FAZ BUSCAS EM OPERAÇÃO E ALVO JOGA DINHEIRO PELA JANELA Pessoa que estava em apartamento alvo de busca e apreensão em Balneário Camboriú, Santa Catarina, chegou a arremessar uma mala cheia de dinheiro pela janela.
Denúncias de crimes cibernéticos no Brasil aumentam em 2025; foram quase 90 mil novas queixas
CRIME NA INTERNET 11/02/2026 - 09h37
Denúncias de crimes cibernéticos no Brasil aumentam em 2025; foram quase 90 mil novas queixas O uso de inteligência artificial para gerar imagens de abuso foi um dos responsáveis pela explosão de denúncias de exploração e abuso infantil na internet.
DOM ORANI TEMPESTA LIDERA PRESENÇA DIGITAL ENTRE LÍDERES CATÓLICOS NO BRASIL
CARDEAL DO BRASIL 06/02/2026 - 09h03
DOM ORANI TEMPESTA LIDERA PRESENÇA DIGITAL ENTRE LÍDERES CATÓLICOS NO BRASIL Levantamento auditado aponta crescimento orgânico, alto engajamento e alcance nacional do Cardeal Arcebispo do Rio de Janeiro
ENGAVETAMENTO MATA DOIS E DEIXA TRÊS FERIDOS NA SERRA DE TERESÓPOLIS
TRAGÉDIA NA ESTRADA 04/02/2026 - 07h40
ENGAVETAMENTO MATA DOIS E DEIXA TRÊS FERIDOS NA SERRA DE TERESÓPOLIS Acidente no km 104 envolveu cinco veículos na manhã de terça-feira (03)
CARNAVAL SOB AMEAÇA: VÍRUS NIPAH PODE TRANSFORMAR A MAIOR FESTA DO BRASIL EM PORTA DE ENTRADA PARA UMA DOENÇA LETAL
NOVA PANDEMIA? 02/02/2026 - 08h00
CARNAVAL SOB AMEAÇA: VÍRUS NIPAH PODE TRANSFORMAR A MAIOR FESTA DO BRASIL EM PORTA DE ENTRADA PARA UMA DOENÇA LETAL O avanço das viagens internacionais e grandes eventos populares reacende o alerta para a possível chegada ao Brasil de doenças graves, como o vírus Nipah, considerado uma das zoonoses mais perigosas do mundo.
IRREGULARIDADES NO TRILHAS DE FUTURO LEVANTAM SUSPEITAS DE FRAUDES E AULAS “FANTASMA” EM MINAS GERAIS
FRAUDE NO TRILHAS? 30/01/2026 - 09h12
IRREGULARIDADES NO TRILHAS DE FUTURO LEVANTAM SUSPEITAS DE FRAUDES E AULAS “FANTASMA” EM MINAS GERAIS Programa estadual de cursos técnicos é alvo de reclamações, denúncias de atraso de auxílio e questionamentos sobre execução de aulas presenciaisstigações sobre atraso de auxílio, registro de frequência falso e enriquecimento de instituições credenciadas
Além Paraíba, MG
Atualizado às 16h01
26°
Tempo nublado

Mín. 17° Máx. 26°

27° Sensação
0.59 km/h Vento
72% Umidade do ar
28% (0.12mm) Chance de chuva
Amanhã (03/03)

Mín. 17° Máx. 27°

Chuvas esparsas
Amanhã (04/03)

Mín. 19° Máx. 27°

Parcialmente nublado
Ele1 - Criar site de notícias